Một vụ tai nạn đau lòng đã xảy ra khi tà áo dài của một nữ sinh bị bánh xe cuốn vào, khiến em ngã đập đầu xuống đường và bị nứt hộp sọ. Sự việc không chỉ gây chấn thương nghiêm trọng mà còn cảnh báo về những nguy hiểm tiềm ẩn khi mặc áo dài khi tham gia giao thông. Bài viết sẽ phân tích chi tiết diễn biến, hậu quả và các biện pháp phòng tránh an toàn để tránh những tai nạn tương tự.
Sự việc tai nạn và hậu quả nghiêm trọng
Vụ tai nạn khiến nhiều người không khỏi bàng hoàng khi một nữ sinh trung học gặp chấn thương đầu nghiêm trọng do tà áo dài bất ngờ bị cuốn vào bánh xe. Sự cố này diễn ra một cách nhanh chóng, không kịp phản ứng, dẫn đến hậu quả thương tâm ảnh hưởng sâu sắc đến sức khỏe và cuộc sống của em. Tai nạn này đã tạo nên hồi chuông cảnh tỉnh về việc bảo đảm an toàn cho những người mặc áo dài khi di chuyển bằng phương tiện cá nhân trên đường phố.
Thông tin về nạn nhân và hoàn cảnh tai nạn
Nữ sinh là học sinh cấp ba, đang trên đường đến trường thì gặp phải sự cố đáng tiếc. Vào lúc trời sáng sớm, khi phương tiện di chuyển còn đông đúc và nhiều yếu tố bất ổn từ môi trường giao thông, tà áo dài của em bị cuốn vào bánh xe đạp điện khiến mất kiểm soát và ngã xuống đường. Hoàn cảnh xảy ra tai nạn cho thấy sự phức tạp và nguy hiểm tiềm ẩn trong việc kết hợp trang phục truyền thống với các phương tiện hiện đại.
Diễn biến tai nạn do tà áo dài vướng bánh xe
Khi nữ sinh điều khiển xe đạp điện vừa đi thì phần tà áo dài bất ngờ quấn vào bánh sau của xe khiến em bị kéo mạnh theo quán tính. Ngay lập tức, em mất thăng bằng và ngã đập đầu xuống mặt đường cứng làm vỡ vùng sọ não. Tình huống xảy ra quá nhanh khiến mọi người xung quanh không kịp can thiệp hoặc giúp đỡ ngay lúc đó.
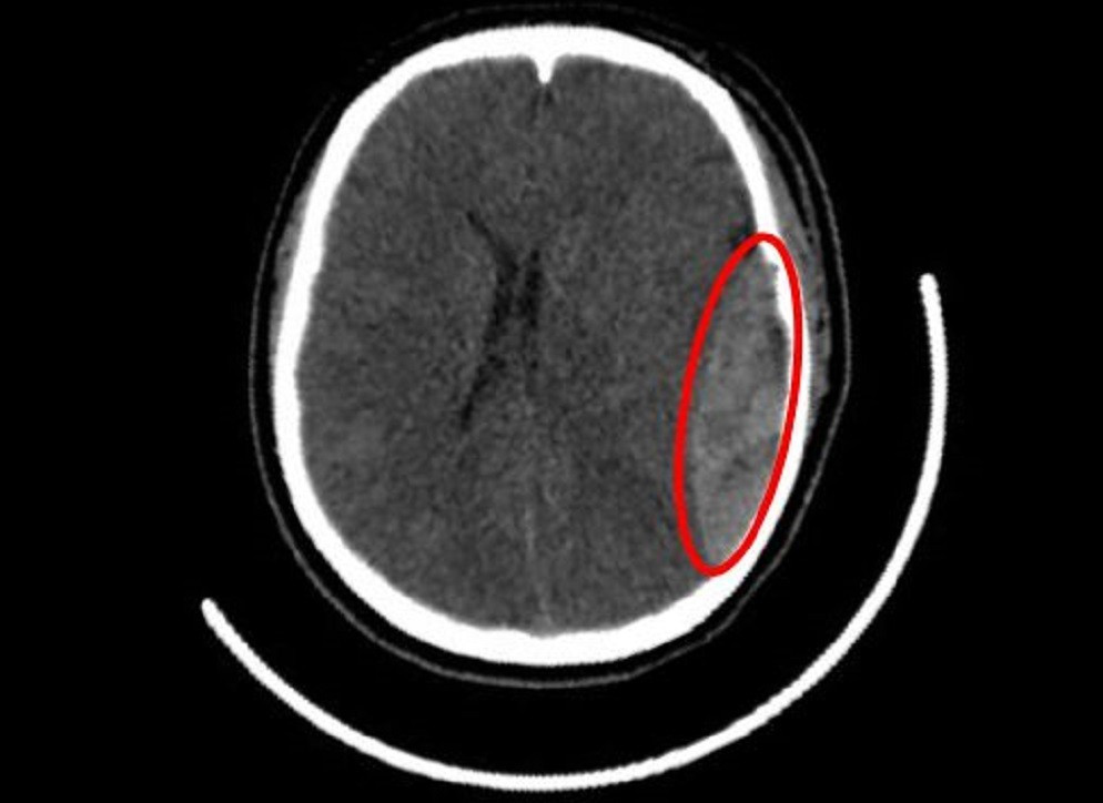
Hình ảnh kiểm tra vị trí chấn thương sọ não của nữ sinh

Hình ảnh kiểm tra vị trí chấn thương sọ não của nữ sinh
Tổn thương và triệu chứng sau tai nạn
Sau cú ngã mạnh, nữ sinh có biểu hiện mất ý thức tạm thời, chóng mặt và đau đầu dữ dội. Các vết thương ở vùng đầu cùng với hiện tượng tụ máu dưới màng cứng gây áp lực lên não bộ, dẫn đến tình trạng nguy hiểm cần được xử lý khẩn cấp. Đây là những dấu hiệu rõ ràng cho thấy tổn thương sọ não nghiêm trọng có thể gây ra các biến chứng lâu dài nếu không được xử lý kịp thời.
Quy trình cấp cứu và điều trị tại bệnh viện
Ngay sau tai nạn, nữ sinh được đưa vào phòng cấp cứu tại bệnh viện chuyên khoa lớn để đánh giá mức độ tổn thương. Quy trình tiếp nhận bệnh nhân chấn thương sọ não được thực hiện rất nhanh chóng nhằm giảm tối đa rủi ro phát sinh thêm. Nhận định ban đầu cùng các công đoạn chuẩn đoán hình ảnh đóng vai trò quan trọng trong việc xác định hướng điều trị phù hợp cho nữ sinh.
Tình trạng sức khỏe khi nhập viện
Lúc nhập viện, nữ sinh có biểu hiện suy giảm ý thức nhẹ đến trung bình nhưng vẫn còn đáp ứng với kích thích bên ngoài. Các dấu hiệu lâm sàng như huyết áp, mạch tim được theo dõi sát sao để đảm bảo ổn định tuần hoàn. Tình trạng ban đầu này cho thấy cần có sự can thiệp y tế nhanh chóng nhằm hạn chế nguy cơ biến chứng thần kinh.
Kết quả chẩn đoán hình ảnh và mức độ tổn thương
Qua các xét nghiệm CT scan não bộ, bác sĩ phát hiện xuất hiện máu tụ ngoài màng cứng cùng với vết nứt hộp sọ tại vùng thái dương bên phải. Mức độ tổn thương không chỉ giới hạn ở phần xương mà còn ảnh hưởng trực tiếp đến mô não bên trong gây áp lực gia tăng. Kết quả chẩn đoán giúp ekip y bác sĩ lập kế hoạch phẫu thuật khẩn cấp nhằm giải tỏa áp lực vùng tổn thương.
Phẫu thuật cấp cứu lấy máu tụ ngoài màng cứng

Phẫu thuật cấp cứu lấy máu tụ ngoài màng cứng
Ca phẫu thuật khẩn cấp và kết quả phục hồi
Ekip bác sĩ thần kinh đã tiến hành phẫu thuật ngay trong ngày nhập viện nhằm loại bỏ khối máu tụ và ổn định vùng tổn thương sọ não. Ca mổ diễn ra thành công ngoài mong đợi nhờ kỹ thuật hiện đại và sự phối hợp đồng bộ giữa các chuyên khoa. Sau vài ngày chăm sóc đặc biệt tại phòng hồi sức tích cực, tình trạng sức khỏe của nữ sinh cải thiện rõ rệt với dấu hiệu ổn định về thần kinh cũng như chức năng vận động.
Nguy cơ tai nạn từ tà áo dài khi tham gia giao thông
Việc mặc tà áo dài truyền thống trong môi trường giao thông ngày càng trở nên phổ biến nhưng cũng tiềm ẩn nhiều rủi ro khó lường nếu không biết cách bảo vệ bản thân đúng mức. Những đặc điểm thiết kế của tà áo như độ dài rộng dễ mắc vào bánh xe hay các chi tiết cơ khí khiến người mặc dễ dàng gặp phải các tình huống mất an toàn dẫn đến té ngã hoặc va chạm nghiêm trọng.
Đặc điểm dễ gây tai nạn của tà áo dài và các loại áo khác
Áo dài thường có phần tà khá dài và rộng nhằm tôn lên nét duyên dáng truyền thống nhưng chính điều này lại là điểm yếu dễ bị bánh xe cuốn hoặc mắc kẹt trong thiết bị vận hành của xe máy hay xe đạp điện. So với các loại trang phục khác như quần jean hay váy ngắn thì tà áo dài khó kiểm soát hơn khi di chuyển nên khả năng xảy ra sự cố cao hơn đáng kể.
Những trường hợp tương tự đã xảy ra gần đây
Trước vụ việc này không ít lần xuất hiện các ca tai nạn liên quan đến tà áo dài bị vướng bánh xe gây té ngã hoặc trượt ngã trên đường phố đông đúc. Một số trường hợp may mắn chỉ xây xước nhẹ nhưng cũng có những bạn trẻ chịu hậu quả nghiêm trọng như gãy xương hay chấn thương đầu nguy hiểm. Những ví dụ thực tế làm nổi bật nhu cầu nâng cao nhận thức cộng đồng về vấn đề an toàn khi mặc trang phục truyền thống di chuyển bằng phương tiện cơ giới.
Sức khỏe nữ sinh ổn định sau phẫu thuật

Sức khỏe nữ sinh ổn định sau phẫu thuật
Giải pháp phòng tránh tai nạn cho học sinh mặc áo dài
Để giảm thiểu nguy cơ tai nạn liên quan đến tà áo dài khi di chuyển bằng xe máy hay xe đạp điện, cần xây dựng thói quen giữ gìn trang phục gọn gàng và an toàn nhất có thể trong từng bước đi hoặc lái xe. Ngoài ra, sự hỗ trợ từ phía nhà trường cùng phụ huynh cũng đóng vai trò then chốt trong việc nâng cao ý thức cũng như kiến thức cho học sinh về an toàn giao thông.
Cách giữ tà áo dài gọn gàng khi di chuyển bằng xe đạp điện, xe máy
Học sinh nên chủ động xếp gọn hai tà áo bằng cách dùng ghim cố định hoặc buộc nhẹ nhàng để tránh chúng bay ra ngoài hay lọt vào bánh xe trong quá trình lái. Khi dừng lại hoặc xuống xe cần rà soát lại trang phục để phát hiện kịp thời bất kỳ dấu hiệu vướng mắc nào trước khi tiếp tục di chuyển nhằm hạn chế tối đa rủi ro té ngã do quần áo vướng víu.
Vai trò của nhà trường trong hướng dẫn an toàn giao thông cho học sinh
Nhà trường cần thường xuyên tổ chức các buổi tuyên truyền giáo dục về kỹ năng và kiến thức an toàn giao thông phù hợp với từng lứa tuổi học sinh đặc biệt lưu ý vấn đề trang phục truyền thống đi cùng phương tiện cá nhân. Bên cạnh đó, việc phối hợp với gia đình đảm bảo môi trường giáo dục toàn diện góp phần nâng cao nhận thức cũng như hành vi đúng chuẩn mực nhằm bảo vệ chính mình khi tham gia giao thông.
Lời khuyên dành cho phụ huynh về lựa chọn phương tiện an toàn
Phụ huynh nên ưu tiên lựa chọn cho con em mình những phương tiện phù hợp với điều kiện thể chất và khả năng điều khiển tránh sử dụng các loại xe tốc độ cao hoặc quá nhỏ dễ mất thăng bằng. Đồng thời cần nhắc nhở con em giữ gìn trang phục thoải mái không quá rộng rãi để thuận tiện di chuyển an toàn nhất mỗi lần đến trường cũng như hoạt động ngoài giờ học.
Những lưu ý khi di chuyển trên mặt đường trơn hoặc trời mưa
Điều kiện mặt đường trơn trượt làm tăng khả năng trượt ngã đặc biệt đối với người mặc trang phục dễ vướng víu như áo dài truyền thống. Vì vậy cần chú ý giữ tốc độ phù hợp, tránh thắng gấp hoặc quay đầu đột ngột để bảo vệ chính mình khỏi các tình huống bất lợi không mong muốn xảy ra trên đường đi dù trời mưa hay lúc mặt đường ẩm ướt.
Các lưu ý quan trọng khi gặp tình huống tà áo dài bị cuốn vào bánh xe
Hành động cần làm ngay để tránh nguy hiểm thêm khi gặp sự cố
Khi phát hiện phần tà áo đang bị cuốn vào bánh xe thì bước đầu tiên nên nhanh chóng tắt máy hoặc hãm phanh dừng lại ngay lập tức để giảm thiểu nguy cơ kéo lê kéo ngã mạnh dẫn tới chấn thương nghiêm trọng hơn. Không nên cố gắng giằng co tháo gỡ ngay lúc đó vì rất dễ mất thăng bằng hoặc gây ra hậu quả nghiêm trọng hơn do lực kéo đang rất lớn.
Tác hại của việc cố gỡ tà áo khi xe đang chạy
Nỗ lực tháo gỡ tà áo đang mắc kẹt khi phương tiện vẫn vận hành có thể khiến người mặc mất cân bằng hoàn toàn dẫn tới té ngã mạnh trên nền đường cứng gây trầy xước, gãy xương hoặc tổn thương vùng đầu nghiêm trọng gây ra những hệ lụy lâu dài đối với sức khỏe. Do vậy tuyệt đối tránh việc xử lý tình huống này một cách nóng vội mà nên tập trung làm chủ tốc độ để dừng lại an toàn trước tiên.
Cảnh báo về tổn thương sọ não do chấn thương vùng đầu
Chấn thương vùng đầu luôn tiềm ẩn những nguy cơ nghiêm trọng đối với chức năng sống nếu không được phát hiện và xử lý đúng cách kịp thời. Trong đó máu tụ ngoài màng cứng là một dạng tổn thương phổ biến nhưng lại vô cùng nguy hiểm bởi nó có thể tạo áp lực lên não bộ gây tổn hại thần kinh quyết định sự sống còn của bệnh nhân nếu không được can thiệp y tế đúng lúc.
Đặc điểm nguy hiểm của máu tụ ngoài màng cứng trong chấn thương sọ não
Máu tụ ngoài màng cứng là tình trạng máu tích tụ giữa lớp màng bao phủ não bộ và xương sọ do mạch máu ở khu vực này bị tổn thương sau va chạm mạnh. Sự tích tụ dịch này tạo áp lực ngày càng tăng lên mô não dẫn đến thiếu ôxy và tổn thất tế bào thần kinh nếu không được can thiệp sớm sẽ dẫn tới tử vong hoặc tàn phế lâu dài.
Triệu chứng cần theo dõi sau va chạm vùng đầu
Sau mỗi va chạm ở vùng đầu dù nhỏ nhất cũng cần chú ý theo dõi sát sao các triệu chứng như đau đầu dai dẳng, buồn ngủ liên tục, mất tỉnh táo hoặc lú lẫn bất thường. Xuất huyết dưới da hoặc dấu hiệu co giật đều là những biểu hiện báo động cần nhập viện khám chữa càng sớm càng tốt nhằm phát hiện kịp thời dấu hiệu tổn thương nội sọ tiềm tàng.
Tầm quan trọng của việc thăm khám sớm và theo dõi liên tục sau chấn thương đầu
Thăm khám y khoa chuyên sâu ngay sau tai nạn giúp phát hiện nhanh chóng những tổn thương khó nhìn thấy bằng mắt thường như máu tụ hay sưng phù não bộ từ đó đưa ra phác đồ điều trị phù hợp tăng tỷ lệ hồi phục tối đa cho bệnh nhân. Đồng thời theo dõi lâu dài giúp đánh giá tiến triển tránh tái phát hoặc biến chứng có thể xảy ra gây ảnh hưởng tới sức khỏe tâm thần cũng như thể chất lâu dài.
Cảnh báo nguy hiểm của máu tụ ngoài màng cứng

Cảnh báo nguy hiểm của máu tụ ngoài màng cứng
Kết luận về bài học từ vụ tai nạn bánh xe cuốn tà áo dài nữ sinh
Vụ tai nạn liên quan đến bánh xe cuốn tà áo dài khiến một nữ sinh bị chấn thương sọ não nghiêm trọng là lời cảnh tỉnh sâu sắc về sự kết hợp giữa phong tục truyền thống và môi trường giao thông hiện đại đầy rẫy rủi ro. Việc hiểu rõ nguyên nhân cùng cách phòng tránh sẽ giúp giảm thiểu tối đa những sự cố tương tự trong tương lai. Mỗi người tham gia giao thông đặc biệt là học sinh cần nâng cao nhận thức bảo vệ bản thân thông qua việc lựa chọn trang phục phù hợp cũng như tuân thủ quy tắc an toàn để giữ gìn sức khỏe – tài sản quý giá nhất.

